روکش دندان چیست؟
وقتی یک دندان به میزانی پوسیده باشد که نتوان آن را با استفاده از روشهای معمولی ترمیم کرد، روکش دندان به عنوان آخرین راه حل درمانی به کار میرود. همچنین، اگر یک دندان دچار عفونت ریشه شده باشد، نیاز به درمان ریشه دارد که پس از این مرحله معمولا از روکش دندان بهره برده میشود.
نکته مهمی که باید در نظر گرفت، این است که دندانهایی که روکش میشوند، ممکن است در زیر روکش دچار پوسیدگی شوند یا در آینده نیاز به درمان ریشه داشته باشند. از سوی دیگر، بعضی دندانها ممکن است با انجام درمان ریشه یا پر کردن دندان ترمیم شوند و نیازی به روکش نداشته باشند.

روکش دندان به انگلیسی چه گفته می شود؟
روکش دندان یا dental crown در زبان انگلیسی ممکن است با نام dental cap هم شناخته شود.
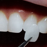
انواع روکش دندان برای زیبایی
کراونهای دندان بسته به موادی که از آنها ساخته شدهاند انواع مختلفی دارند که عبارتند از:
- روکش تمام سرامیک
- روکش فلز- سرامیک
- روکش تمام فلز
بهترین نوع روکش دندان
برای انتخاب بهترین نوع کراون دندان باید مزایا و معایب انواع مختلف کراون را بدانید و سپس بسته به کاربرد، بهترین نوع کراون دندان را انتخاب کنید. اگر بهترین از نظر کاربرد و استحکام باشد، روکشهای فلزی بهویژه طلا بهترین نوع کراون دندان هستند که البته بهخاطر رنگ و قیمت بالا چندان رایج نیستند. روکشهای رزینی هم از نظر ظاهری خوب هستند اما شکنندگی بالایی دارند. باتوجهبه تمام مزایا و معایب انواع تاجهای دندانی و درنظر گرفتن فاکتورهای هزینه، زیبایی، و استحکام، بهترین نوع کراون دندان، کراون فلز – سرامیکی و تمام سرامیکی است.

کاربردهای کراون دندان
کراون دندان برای روکش کردن دندان بزرگسالان و کودکان با اهداف زیر کاربرد دارد:
- محافظت از دندان پوسیده برای جلوگیری از شکستگی یا ترکخوردگی
- پوشاندن دندانهایی با پرکردگی بزرگ
- روکش دندان عصبکشی شده.
- پوشاندن دندانهای بدفرم یا دندانهایی که تغییر رنگ زیاد دارند.
- ترمیم دندان فرسوده یا شکسته
- نگهداشتن بریج دندان (روکش دندان متصل به هم)
- پوشاندن ایمپلنت دندان و انواع روکش ایمپلنت
- اصلاح طرح لبخند
- قاب دندان شیری کودک و محافظت از دندانهای در معرض پوسیدگی

چه کسانی باید از روکش دندان استفاده کنند؟
کراون دندان برای محافظت از دندان در افراد با شرایط زیر توصیه میشود، البته در وهله اول این تشخیص دندانپزشک است که شما گزینه مناسبی برای بهرهمندی از این خدمات دندانپزشکی هستید یا خیر:
- برای افرادی که به دنبال زیبایی لبخند و دندانها هستند.
- برای پرکردن جای دندان خالی که قصد دارید با ایمپلنت دندان پر کنید.
- برای بازگرداندن زیبایی و کارکرد دندانهایی که پوسیدگی وسیع دارند.
- افرادی که دندان شکسته یا ترکخورده دارند.
- برای محافظت از دندانهایی با پرشدگی زیاد.

ماندگاری و عمر روکش دندان چقدر است؟
ماندگاری کراون دندان حدودا بین ۱۰ تا ۱۵ سال است؛ البته منوط به اینکه دستورات مراقبتی دندانپزشک را کاملا رعایت کنید و بهداشت دهان و دندان فراموش نشود. درصورتیکه دستورات مراقبتی درست رعایت شوند، ماندگاری و عمر کراون دندان بالاتر هم میرود.
مزایای روکش دندان چیست؟
کراونهای دندانی از نوع پرسلین و کامپوزیت یکی از گزینههای محبوب خدمات دندانپزشکی هستند که مزایای بیشماری دارند:
- دندانهای سفید و شفاف مشابه دندانهای اصلی و ظاهری طبیعی
- مقاومت کراون دندان نسبت به لک از مزایای مهم کراون دندانی است که هرگونه لکی بهراحتی از روی روکش پرسلن پاک میشود.
- ماندگاری و طول عمر بالای کراون دندان مزیت مهمی است که باعث شده در مقابل ضربات و ساییدگی تا سالها دوام بیاورد.
- ترمیم مشکلات جزئی دندانها و رفع عیوب سطحی
- بعد نصب نتیجه روکش دندان بلافاصله قابل مشاهده است.
- کراون دندان جایگزین مناسبی برای مینای دندان آسیب دیده هستند که از ساییدگی مینای دندان جلوگیری میکند.
معایب روکش دندان چیست؟
درست است که تاج دندان از گزینههای محبوب خدمات دندانپزشکی است که برای رفع ایرادات سطحی استفاده میشود اما معایبی هم دارد که عبارتند از:
- گاهی بعد از مدتی روکشها آسیب دیده و باید ترمیم یا تعویض شوند.
- غیرقابل برگشت هستند. یعنی برای نصب باید یک لایه مینای دندان برداشته شود؛ بههمین دلیل دیگر نمیتوانید بعد از تراشیدن مینای دندان و نصب روکش دندان، آن را بردارید.
- احتمال حساسیت دندانی وجود دارد.
